微創植牙|全口重建
|Implant Dentistry|
微創植牙|全口重建
The most advanced clear aligner system.
微創植牙|全口重建
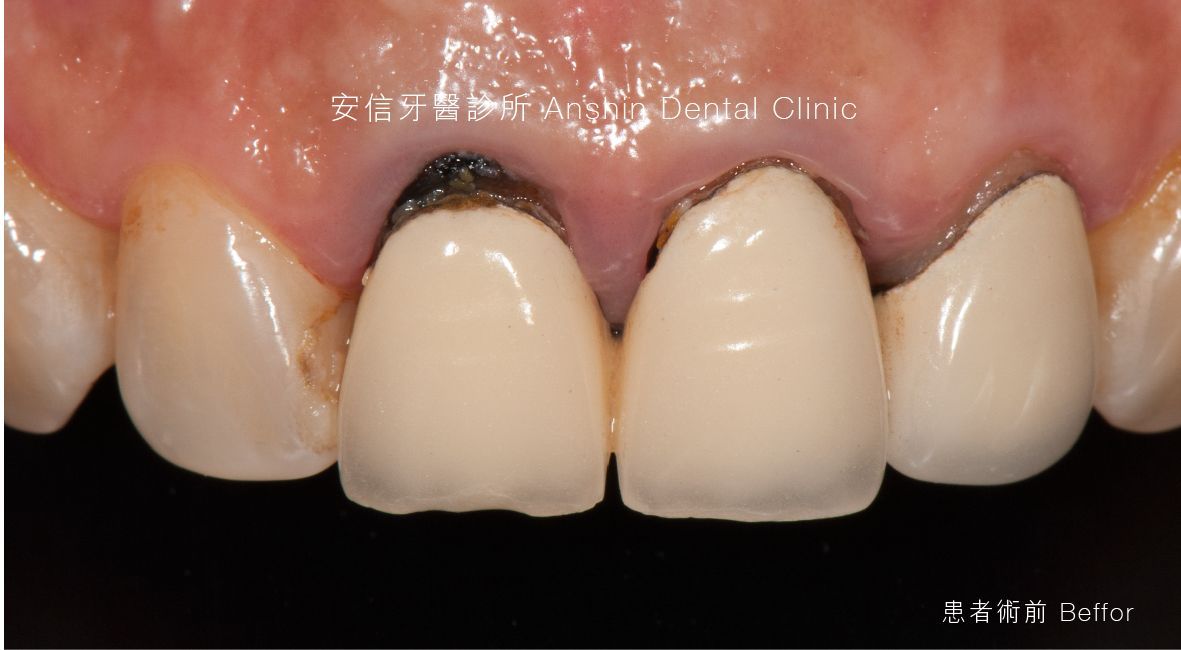
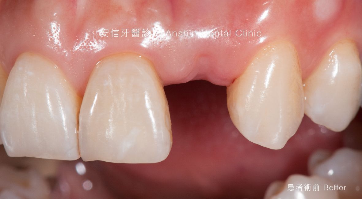
患者的牙齦和骨頭條件往往不理想,因此在植牙時常須作補骨或補牙肉治療,並搭配美觀的牙冠才能達成理想的美學效果。
即拔即種 植牙
患者條件許可的情況下,可在牙齒拔除的當下,將植體植入並裝上臨時牙冠,可縮短整體療程時間,減少手術創傷。
全口植牙重建 All-on-4
全口無牙患者可藉由植入4-6支植體,來支撐全口固定牙橋,模仿天然骨頭隆起的形狀,撐起塌陷的組織,重建患者口腔功能與美觀。
人工植牙新世代優勢
目前市面上都以生物兼容性高、不易變質強度高的鈦金屬作為植體。植牙手術前,須先經過專業醫師審慎評估患者健康狀況及口腔條件,手術後需靜待癒合期,確認植體已和骨頭結合後,即可接上牙冠。
看似簡單的手術,其實隱藏許多須注意的細節,例如患者的牙根生長狀況,會影響植體放入顎骨的難易度;部分糖尿病或特殊疾病患者,因考量到傷口癒合能力,需與內科互相搭配,才可進行植牙手術;當然也不是所有患者都有足夠的先天條件可以植牙,如果顎骨太窄或高度不夠者,都需接受前置醫療,才可進行治療。











